Contar con profesionales especializados, con capacidad para trabajar en equipo, supone un plus de confianza. Los protocolos interdisciplinares son sinónimo de éxito. A continuación les mostramos el caso de una paciente que quería sustituir sus viejas prótesis y conseguir una sonrisa perfecta.
El diagnóstico y la planificación del tratamiento es fundamental a la hora de abordar el caso de un paciente. En ocasiones, existen múltiples problemas dentales a tratar, por lo que es necesario un trabajo en equipo, interdisciplinar.
Para ello, el equipo de PLA dental se reúne y estudia cada caso en particular, antes de ofrecer al paciente un diagnóstico definitivo. Una especie de brainstorming, donde los doctores aportan ideas y conocimientos. De este modo, se elabora un plan de tratamiento, con el objetivo realizar un tratamiento lo menos invasivo posible, conservando al máximo su estructura dental, duradero y estético.
Un ejemplo de ese trabajo en equipo, interdisciplinar, es el de esta paciente, cuyo caso se ha publicado recientemente en la revista Maxiliaris. La principal preocupación de esta paciente era estética, quería mejorar su sonrisa. Llevaba una prótesis fija desde 1993 y notaba recesiones gingivales y un cambio de color en sus dientes.
Análisis estético y funcional
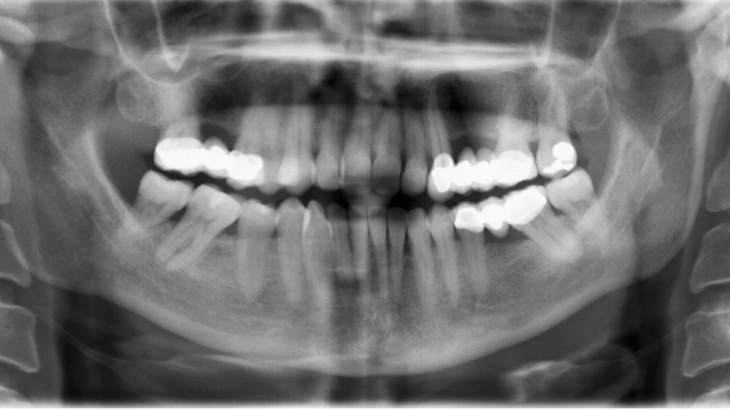
Lo primero era evaluar su estado dental y establecer un pronóstico a largo plazo. Para ello, se realizaron radiografías, registros fotográficos, impresiones y arco facial.
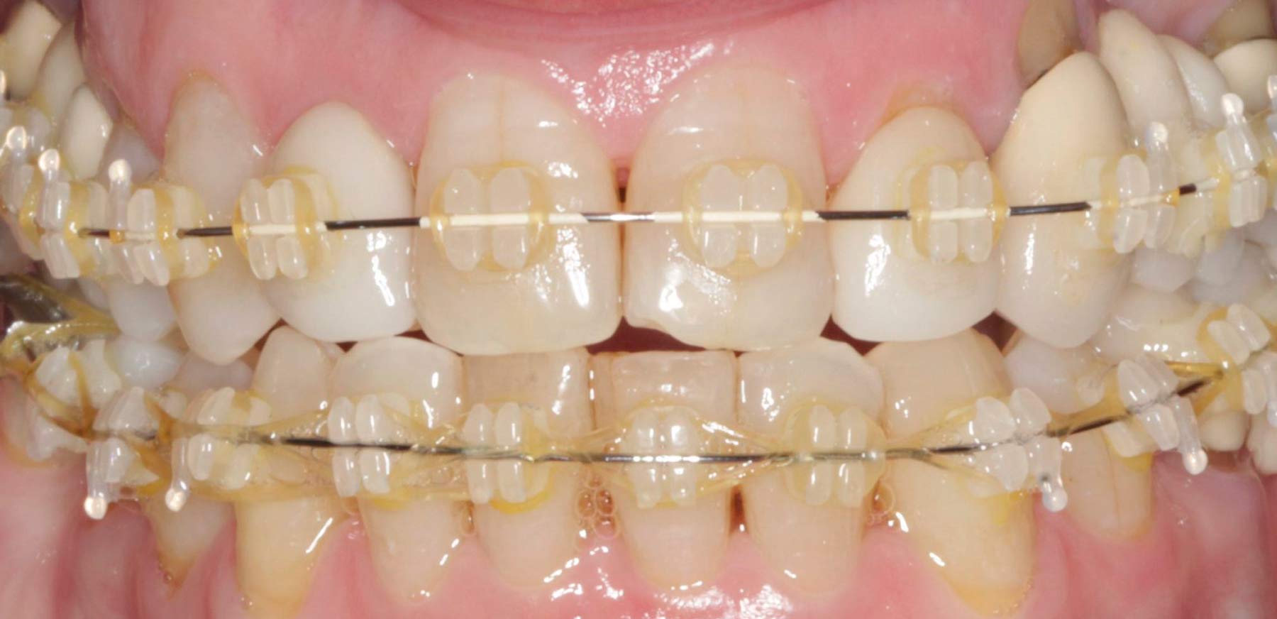
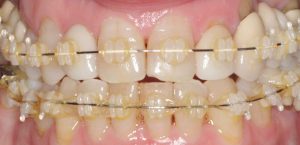
Esta paciente quería cambiar sus viejas prótesis de metal-cerámica, con más de 25 años, por algo más estético. Presentaba recesiones, zonas de atrofia, problemas en la arcada dental y estéticamente, una excesiva exposición gingival, márgenes irregulares y diferencias de color entre la restauraciones y sus dientes originales.
Había que intervenir de manera conjunta. Necesitábamos al doctor Rafael PLA García para cambiar las prótesis, al doctor Rafael PLA Martinez en implantaología y periodoncia, la doctora Julia Martinez en ortodoncia y a la doctora Marta PLA, para las restauraciones estéticas.
Empezamos primero por un tratamiento de ortodoncia para alinear y nivelar la mordida. Después, esta paciente pasó por periodoncia para resolver la recesión gingival. En cuanto a la nueva prótesis, se decidió realizar un nuevo puente, ya que sus dientes contaban con hueso suficiente para ello y en buen estado. Para finalizar, las diferencias de forma y color, se corrigieron con carillas dentales.
Una vez concluye el tratamiento, entra en juego el papel de la higienista dental, para adecuar las técnicas de higiene Orala las nuevas restauraciones. El paciente debe aplicar técnicas de higiene interproximal. Además, el paciente entra en un programa de mantenimiento par monopolizar y controlar la placa y la ausencia de bolsas periodontales.
Esta forma de trabajar supone un claro beneficio para os pacientes, que reciben el mejor tratamiento posible. Para los profesionales, este tipo de trabajos interdisciplinares suponen una mayor confianza, calidad y satisfacción personal.
