Melanosis gingival: qué es, por qué aparece y cómo se puede corregir
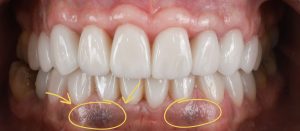
La melanosis gingival es una alteración del color de las encías que suele generar dudas y preocupación en muchos pacientes. Se manifiesta como manchas marrones, negras o grisáceas en la encía, especialmente visibles al sonreír. Aunque su aspecto pueda llamar la atención, en la mayoría de los casos no supone ningún problema de salud.
Tal y como explica el doctor Rafael Plá, especialista en Periodoncia y cuidado de las encías en PLA dental (Albacete), la melanosis gingival es un proceso benigno que responde a un aumento de melanina en las capas superficiales de la encía. Es más frecuente en personas con tonos de piel más oscuros y también puede aparecer en pacientes fumadores.
Además de la melanosis, existen otros cambios de color en las encías que conviene diferenciar. Uno de los más habituales son los llamados tatuajes de amalgama, provocados por antiguos tratamientos de conducto realizados con materiales metálicos. En estos casos, pequeñas partículas del metal pueden teñir la encía de forma localizada.
¿Tiene tratamiento la melanosis gingival?
Desde el punto de vista médico, no es necesario tratarla, ya que no afecta a la salud bucodental. Sin embargo, si el paciente desea mejorar la estética de su sonrisa, existen soluciones eficaces y seguras.
En PLA dental realizamos procedimientos de peeling gingival, una técnica mínimamente invasiva que consiste en una abrasión controlada de las capas superficiales de la encía. Este proceso estimula la regeneración del tejido, ayudando a eliminar el exceso de melanina y a recuperar un color más rosado y natural.
Si has notado manchas oscuras en tus encías y quieres un diagnóstico profesional, en PLA dental, tu clínica dental en Albacete, estaremos encantados de ayudarte. Una valoración especializada es el primer paso para cuidar la salud y la estética de tu sonrisa.
