Perder un diente no solo afecta a la estética de la sonrisa, también puede comprometer la salud de la boca a medio y largo plazo. La solución más segura y duradera para recuperar tanto la función como la estética de la sonrisa es el implante dental
Consecuencias de no reemplazar un diente perdido
Cuando un diente se pie
rde y no se repone, los dientes adyacentes tienden a moverse, provocando malposiciones, problemas de mordida y desgaste irregular. Además, la ausencia de la raíz dental genera pérdida de hueso en la zona, lo que con el tiempo puede modificar la forma del rostro y dificultar futuros tratamientos. También es común que aparezcan problemas de masticación e incluso alteraciones en la articulación de la mandíbula.
Beneficios de los implantes dentales
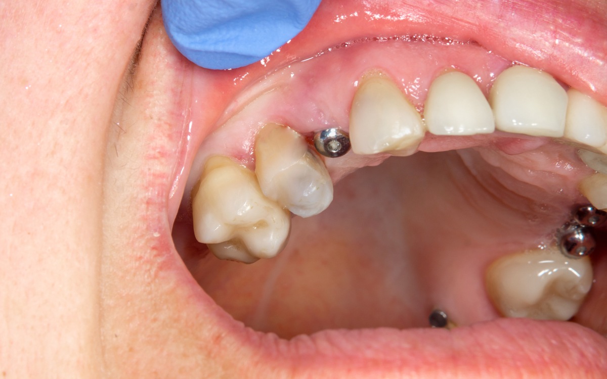
Los implantes dentales son una solución fija y duradera que sustituye la raíz del diente mediante un tornillo de titanio integrado en el hueso. Sobre este implante se coloca una corona estética que imita perfectamente al diente natural.
Hay pacientes que comentan cómo les cambia la vida con un implante dental, en una sola visita puedes salir con un diente puesto tras perder tu pieza dental, incluso con una simulación virtual antes para que veas cómo quedará.
Principales ventajas:
Recuperan la función masticatoria al 100%.
Mantienen el hueso y evitan su reabsorción.
No afectan a los dientes vecinos, a diferencia de los puentes tradicionales.
Ofrecen un resultado estético natural e indistinguible de los dientes originales.
¿Quién puede colocarse un implante dental?
La mayoría de los pacientes con buena salud general y bucal pueden beneficiarse de los implantes. Antes del tratamiento, realizamos un estudio completo con radiografías y escáner digital para planificar el procedimiento con máxima precisión.
En nuestra clínica dental en Albacete, los implantes dentales son la mejor opción para recuperar la sonrisa, mejorar la calidad de vida y prevenir futuros problemas de salud bucodental.


