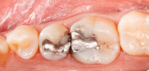
Si llevas empastes de amalgama debes saber que no es necesario cambiarlos, salvo en contadas ocasiones. Eso sí, existen opciones mucho más estéticas que te contamos a continuación.
Seguro que muchos les resultan familiares. En realidad, hace ya varios años que no se realizan empastes de amalgamas. Es más, en nuestra clínica dental en Albacete podemos decir que no utilizamos amalgamas para nuestras restauraciones desde hace décadas.
Sin embargo, hay pacientes con restauraciones de este tipo, colocadas hace 20, 30 o 40 años, que se conservan en boca y funcionan perfectamente. Por lo que, en principio, no estaría indicado cambiar estos empastes, a no ser que presenten algún signo o alguna sintomatología clínica
¿Cuándo debemos cambiarlos?
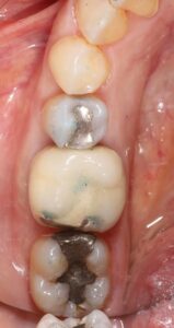
Está recomendado cambiar este tipo de empastes cuando presenten pequeñas fisuras. En este caso, es necesaria la remoción de este empaste para que la fisura no progrese en el diente, ya que puede llegar a fracturar el diente.
Del mismo modo, si tiene alguna caries habría que cambiarlos o simplemente, si estéticamente este empaste de amalgama se encuentra en una zona muy visual, y queremos optar por otra opción más invisible.
Pero, si estéticamente no hay ningún problema, estructuralmente tampoco, ni de salud, no habría indicación de cambiar los empastes de amalgama
Falsos mitos
Existe la creencia que el mercurio de las amalgamas puede afectar sistémicamente. Sin embargo, esta afectación no estaría demostrada ni comprobada por ningún estudio que avale esa creencia.
En este video la doctora Marta PLA, responsable de estética dental en nuestra clínica en Albacete, explica muy brevemente los motivos por los que no es necesario cambiar los antiguos empastes de amalgama. Para más información, contacta con nuestro equipo de dentistas en Albacete.
